I've been singing the same song for over a week now - the one in my last post.
Because...
"There is a reason for it all."
With all of this month's happenings blessings,
it looks like it will be sticking around for another post or two or three.
My delayed update is a result of taking some time away from the computer
and taking in all that is good around me.
And, lets not forget the glorious symptoms I've been experiencing in full force.
I say glorious with a bit of sarcasm but,
with mostly such gratefulness.
I think I've slept more in the past month than I have in over a decade. I really do.
I've been a "queasy sea cow" as I like to refer to myself as of lately.
I'm bloaty. I'm constipated. (I'm sure you love that mental picture.) I'm a ball of emotions.
But dammit,
I am so very, very thankful.
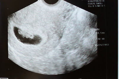
Last Thursday's appointment...
I was 7 weeks and 3 days pregnant.
Our ultrasound was one I will never forget. And one like I've never seen in all my pregnancies.
"Beano" impressed us all with his amazing growth in the ten days since our last appointment.
*Measuring 13.5 mm
*7 weeks and 4 days (a day ahead)
*Sportin' little arm buds already
*With a healthy heartbeat
*An expected due date of March 24, 2013
*Another appointment this Thursday
And bump shots afterwards...
Muffin and Twinkie kept me company again - the furry little photobombers.
Today, I am 8 weeks and 1 day (or two, if Beano's still measuring ahead).
Today, I am the farthest I've ever been.
Today, I'm more faithful than I've ever been.
<3<3<3
Happy photos...
Daxon and his big sister, Chloe, always making me smile.
***
Visits from Veronica and Kerry.
Veronica pulled out a blanket and got comfy in one of our cat beds.
<3

***
A night with mom and Jessica.
Celebrating be-lated birthdays.
Celebrating friendship.
<3
My mom got Beano his/her 1st toy. <3
***
Musikfest with mom, Karen, and Steve.
Food.
Fun.
Queasiness.
Music.
Lots of bathroom breaks.
A long and wonderful day with 3 people I love.
<3
***
Have a relaxing Tuesday, friends. <3
I can't thank you all enough for your thoughtfulness and encouragement.
See ya later this week.
Tuesday Lovin',
























48 comments:
Yay! So happy for you! Enjoy every moment girl! You deserve it!
Ashley:)
Love!!! Beano looks great!
PS. March 24th is my hubby's birthday! Can't wait for more updates!
Xoxo
I've been thinking about you a lot this past week and wondering where you've been. So glad you are taking time to just enjoy life! Can't wait to see baby beano progress :-) Lots of love and hugs!!!
YAYAYAYA!!! I just want to let you know I refreshed your blog ever flipping night since last Thursday waiting for an update! your suspense was killing me! I am so so so happy for you! Happy 8 weeks (1day!) :D
VERY excited for you!! Can't wait for more updates on beano.
I love Beano so much! So glad he is growing and is healthy and strong. I am bummed you're so sick :( staying positive about it is great though. It will pass and then the fun of feeling Beano kick and punch your insides will begin! Hope to catch up with you soon. Xoxo
What great updates!!! Yay!! :) Congrats!!
What a cute little bean!!! So happy for you!
Love it and love you!! I could not be happier for you. Try lemons (you can either just smell them or drink lemonade). The only other thing that helped was ginger candy and when that failed to help, zofran. Isn't it amazing though? I wasn't one that loved pregnancy, but I did love the miracle of it and I tried as much as possible to savor every moment (even when they weren't fun).
Thanks for your sweet comments last week. Just found them yesterday. LOL!!!
xoxo,
Joy
SO happy for you, Maria! I love the kitty photo bombs...mine hangs out in the bathroom sink too!
Hoooorrraaaayyyy!!!!!!!! I have been thinking about you and sweet Baby Beano Marino all week!!! Do you feel like you aren't allowed to complain (even the tiniest bit) when you don't feel good? I felt like if I did, something bad would happen. Irrational, I know.
Yay :) so happy to see this update! I've been checking every day! I'm sorry you've been feeling crappy! I have no advice for that I was fairly lucky to not have it bad at all, embrace it <3 you guys must just be do thrilled to make it this far, so so soooo happy for you guys <3 oxo
Awesome, awesome, awesome news!!! So thankful all is going well!!!
I'm so happy for you, Maria. I L-O-V-E that you share your bumpette (you're so tiny in general!!!) ;), your ultrasound pictures, and of course every snidbit about your journey -- constipation and all! :)
It's been so fun, heartbraking, and heart warming following you through your journey. I'm LOVING where it's taking you! <3
Oh, and P.S. I always mean to say how beautiful your momma is! She looks great -- and you two look so similar! :) Love it!
Yay! So glad baby is growing just like he/she should! Isn't it amazing how much change there is over the course of a week? Get plenty of rest and relaxation :)
So so happy to hear that everything is going well!! Thinking of you and "beano" :)
I'm so happy for you and to hear from you! Happy news all around! Have a great teat of the week!
CONGRATS on a great start off to your pregnancy. Can I just say how jealous I am that you are due in March? My first MC was supposed to be a March baby.
I love the idea of a March baby.....spring.....new beginnings!!!!! Plus, he or she will be a few months old just in time to enjoy summer :) How perfect.
I'm so happy for you and your new little family.
Wheeew....I've been catching up on all of your posts all afternoon at work, not working, lol!! I have been kind of taking a much needed break from the blog! The last time I read your posts, I was reading sad news. Now that I'm all caught up with everything I want to say CONGRATS to you and Steve!! Reading all of your posts have made me teary eyed, actually crying, laugh out loud, say "awe" out loud and get stares from the other office people(you know because i should be working) and giggling to myself. You are truly an amazing person who deserves nothing but the best in this world. You have such an wonderful group people in your life and it shows through all the pics. that you share with us and through all the words that you type!! Looking forward to reading more posts on "Beano Marino".
Sending big hugs and continued prayers your way!!
Yay for 8 weeks 1 day! Yay for being farther along than you've ever been. Yay for arm buds!
Horrayyy!! Beano looks great! That is so sweet your mom got the baby his/her first toy! Love all of these pictures. Love that Muffin and Twinkie photobomb the pictures, haha! Have a great week, Maria
xoxo
You're 2 months pregnant already! Holy crap! Where does the time go?! I bet you and Steve are just over the moon! I knew this baby was the one, I just knew it! Doesn't it feel so good to make it this far? It feels like a huge accomplishment! And now you're only going to make it further and further:) I can't believe beano is measuring AHEAD! He's been a strong little dude since that super dark positive line!
I love hearing that you're finally getting so much sleep. Take it in girl, because soon beano will become a mini vamp, keeping you up all night with his vampy kicks. (I REALLY think it's a boy)
You're glowing! Looking beautiful in your pictures. I think Steve might be glowing too ;)
I'm glad that in between your bear like hibernations you're able to get out, and have fun!
Constantly thinking of, and praying for you!
Xoxo~ Heather
Maria! I'm just now getting caught up. Congrats!
YAY!!! So happy everything is good and things are moving right along. Sorry for all the yuckiness, hopefully around 12 weeks you will start feeling better.
Beano is an overachiever already!! ;) So thrilled to read this post, Maria! You are a dear. Happy Tuesday to you! Hope the rest of your week is just as sweet as today. :)
~Heather
P.S. I just sent you an email- there's a post from another blog I want you to read... I'm curious of your take on it. :) Hope you and Steve have a great night!
Awe, Maria! This post makes me really happy :D. Congrats! All the best vibes your way!!!
And thank you so, so much for having dropped by my blog! It made my day :D.
Love,
Miki.
Yay for the milestone! This is your keeper! I am so pumped to see you through this pregnancy all the way to the very happy ending. I am not a doula but if you want me to attend your birth I totally would. LOL I am totally kidding!!! Or am I? Hee Hee!
Pregnancy looks so good on you!
So happy for you and Steve!!!! The baby looks great and hope that your baby could come a few days late so he/she can have the same birthday as my little peanut. (a year apart but same day. ;). 3/27) I love following your blog and it has humbled me and made me be thankful for all I have now even when my kids are driving me crazy! Best of luck to you both and best wishes!!!
Yurie
Hiiiii Beano :) I miss you (and your mommy and daddy) already!!!
I've been so patiently waiting (stalking) for this post :) makes my heart sing!!!!
yay for being a bloated consitipated cow (or whatever you called it, lol!) I know exactly what you mean, exactly how you feel, and I know how it can be a good thing! lol
Hugs Maria <3
Congrats on the pregnancy! You're so beautiful. It makes me wish I was pregnant too! Just found your blog and have enjoyed getting to know you better. I'm excited to follow along!
new follower :)
bonnie
bonnielouisa.blogspot.com
Hi little Bambino!!! :) :)
So so so excited for you!! But then again you already know that! ;) Drink some root beer--that helped my nausea. Or eat some potato chips. That helped me too.
You're halfway through first tri!! Woo woo!! Wish we lived close so we could celebrate!
xoxo
Kari
Yippee Maria! I am so happy that everything is going well. It must be such a wonderful time for you and Steve. As always the pictures are beautiful. I wish another special moment for you when you go for your appointment tomorrow. Do enjoy the rest of the week. My thoughts and prayers are with you and I send Lots of Love, Friendship and Best Wishes to you, Steve and Beano!
that is the most beautiful sight ever! now, keep growing, beano!!! sounds like it was a great weekend, too. you always seem to have so much fun. i love that about you! :)
YAY Maria!!!!! I am SO thrilled for you....I can't even imagine how happy you and Steve are right now. I know you are soaking it all up...and I'm so glad you're sharing your journey with us bloggy friends :). I love that Beano got his/her first toy...and from your Mom, so special!
You always eat the BEST food. Seriously...I can't come to your page without grabbing a snack! :)
Hope you are having a wonderful week, pretty momma. Sending lots of love you and Beano's way!!
Oh I am just SO happy for you. <3
Your kitties are so precious btw. And you can't even tell your preggers - you're beautiful!!
Anyways I am SO SO happy for you and Steve. What an amazing journey you are on and I am SO thankful you are on it!!
Thanks for the sweet comments saying you've thought of me the past few weeks - you've made my day <3
Again..I am SO THRILLED!!!!!
Yah! So excited for you! THis is is Maria- in 8 more months you will have a beautiful baby! I am going to guess first and say girl!! xoxo
My heart is so full of joy for you! I know we have never "met" in person but you are such an amazing person and you have been such an encouragement and inspiration for me. :) Nobody deserves this more than you and Steve and I am so happy I get to follow you along on this part of your journey. So, I wish you lots more bloating and queasiness because that means baby is growing as he/she should!
lots of love!!
Hey guys!! Absolutely awesome news!!!!! I am so happy for you both and thankful and excited :)
You look wonderful, even for a bloated, constipated queasy woman ;)
Keep up the good work Maria, you're cooking something wonderful and he or she is going to have SO many Aunties!!! xoxoxo
How did I miss this post? I was wondering why I hadn't seen much lately :) So happy for you guys, enjoy every second!!!
xoxo
Very happy for u, my friend. I was exhausted the whole first trimester too. In fact, that was my strongest symptom apart from extreme thirst. You so deserve this! Sending you all the positive vibes I can (and to Steve).
Adi
Hey hun! Thank you for stopping by my blog :) you are too sweet <3
So you know I love you so I had to nominate you for a blog award :)You rock girlie
http://theharmonbabyfarm.blogspot.com/2012/08/sunshine-blogger-award.html
I am so happy for you. = D You have a world of support and prayers going to you and Steve and little Beano....March will be here before you know it and you will get to hold that little guy (oh my, I said he was a boy...where did that come from?). My head is stirring with creating the cutest, most awesome gift package for you all. = ) Thursday will be here soon and embrace every moment of it. Life is good Maria and you know it. You are a true example of testimony for so many who need to hear a story of trust and faith. Keeping you in my thoughts and prayers.
Irish
Just wanted to say hello and I'm thinking of you and hoping everything is well <3
Thank you for your kind comments as always ;)
oxo V
Just wanted to say I miss your weekly blog posts...but I've been thinking about you lots of hope you are doing well! Can't wait for another update :)
So so exciting lady!!! And yay on all those "wonderful" symptoms!! Xoxoxo
I'm so glad your ultrasound appointment went well! So exciting. :)
Adorable pics!!
Post a Comment